tidgi a écrit:Je partirais bien à 6h30, comme l'an dernier![]()
Ca ne sera pas trop tôt je pense...
6h00 l'an passé !

Modérateur: Modos
Voir la fiche de la course sur kikouroù
Off - La 180 2013 - Lyon 07
avec 11 kivaoù, 9 récits pour 2013 et 30 au total, 10 vidéos, les résultats
tidgi a écrit:Je partirais bien à 6h30, comme l'an dernier![]()
Ca ne sera pas trop tôt je pense...
Mamanpat a écrit:tidgi a écrit:Je partirais bien à 6h30, comme l'an dernier![]()
Ca ne sera pas trop tôt je pense...
6h00 l'an passé !
Mamanpat a écrit:Je crois que je fais une 180blues... C'est grave docteur ?...
Mamanpat a écrit:Je crois que je fais une 180blues... C'est grave docteur ?...
Taldius a écrit:Faire des bêtises c'est naturel et cela fait plaisir... on oubli juste en grandissant. Mais quand on y regoûte, il est dur de s'en passer. L'avantage c'est que l'on peut faire des bêtises de grands
tidgi a écrit:Mamanpat a écrit:tidgi a écrit:Je partirais bien à 6h30, comme l'an dernier![]()
Ca ne sera pas trop tôt je pense...
6h00 l'an passé !
Le RDV oui.
Mais départ 6h30 ! Le temps de faire les photos, les interviews, les vidéos, toussa, .....
Mamanpat a écrit:Je crois que je fais une 180blues... C'est grave docteur ?...
Tout à fait normal. Ca veut dire que tu reviendras
Jean-Phi a écrit:tidgi a écrit:Tout à fait normal. Ca veut dire que tu reviendras
+1 ! Mais je serai au départ !
Jean-Phi a écrit:+1 ! Mais je serai au départ !
Ch'ti lillois, il faudra nous dire si tu confirmes ou pas.
ch'ti lillois d'vizille a écrit:Jean-Phi a écrit:+1 ! Mais je serai au départ !
Ch'ti lillois, il faudra nous dire si tu confirmes ou pas.
confirmation samedi matin après le diagnostic radio du pied.
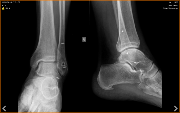
ch'ti lillois d'vizille a écrit:Voilà, le verdict radiologique du pied est tombé ce soir:
- énorme inflammation au niveau de l'insertion de l'aponévrose sur le talon avec une très belle épine calcanéenne en forme de griffe d'aigle....
- pas de constatation de fracture de fatigue sur les métatarses mais par contre un rdv est pris pour le 9/12 afin de faire une IRM du pied afin de comprendre pourquoi le pied ne déroule pas correctement.
Donc, plutôt que d'espérer une possible guérison miracle d'ici 3 semaines (une épine calcanéenne ne disparait pas sans intervention), ni le reste autant déclarer forfait et laisser la place à un participant valide.
Cette décision est grosse sur la patate, mais faut savoir accepter, se guérir et mieux revenir.
Je suivrais votre parcours attentivement, avec un œil comme si j'y étais et vous souhaite bon courage et bonne route.
ch'ti lillois d'vizille a écrit:Voilà, le verdict radiologique du pied est tombé ce soir:
- énorme inflammation au niveau de l'insertion de l'aponévrose sur le talon avec une très belle épine calcanéenne en forme de griffe d'aigle....
- pas de constatation de fracture de fatigue sur les métatarses mais par contre un rdv est pris pour le 9/12 afin de faire une IRM du pied afin de comprendre pourquoi le pied ne déroule pas correctement.
Donc, plutôt que d'espérer une possible guérison miracle d'ici 3 semaines (une épine calcanéenne ne disparait pas sans intervention), ni le reste autant déclarer forfait et laisser la place à un participant valide.
Cette décision est grosse sur la patate, mais faut savoir accepter, se guérir et mieux revenir.
Je suivrais votre parcours attentivement, avec un œil comme si j'y étais et vous souhaite bon courage et bonne route.
Taldius a écrit:Courage, on t'attends pour 2015 :=)
Hay-David a écrit:Toutefois, je ne suis pas sûr d'avoir compris pour le sac ma question était comment nos sacs vont de Lyon à Sainté ? C'est également l'organisation de la 180 qui les emmène au Flore pour qu'on puisse se changer à l'arrivée ?
tidgi a écrit:Hay-David a écrit:Toutefois, je ne suis pas sûr d'avoir compris pour le sac ma question était comment nos sacs vont de Lyon à Sainté ? C'est également l'organisation de la 180 qui les emmène au Flore pour qu'on puisse se changer à l'arrivée ?
Oui c'est çà, mais jusqu'au Parc Expo de St Etienne. A toi de l'emmener ensuite jusqu'au Flore
A l'aller, tu peux retrouver ton sac à Ste Cath si besoin...
Hay-David a écrit:Vous avez réussi à trouver un temps pour dormir une petite heure l'an dernier, une fois arrivés au Flore ?
Jean-Phi a écrit:La température baisse, la boue est là, il ne manque plus que laneige et toutes les conditions seront réunies !![]()
Have fun pour cette dernière semaine à faire du jus !!!
Taldius a écrit:D'une manière générale, le coupe-vent devrait être dans la matos obligatoire de la SL. En particulier avec le temps annoncé, cela va donné du ressentis inférieur à -10°C. Attention à la digestion...
Jean-Phi a écrit:Tic tac, tic tac...
Taldius a écrit:L'avantage du tripoux c'est que c'est du pré-digéréré.
A cette heure-ci demain nous seront reparti de Soucieux.
jack91290 a écrit:Bon courage a vous tous. Vous me faites rever.
jack
Voir la fiche de la course sur kikouroù
Off - La 180 2013 - Lyon 07
avec 11 kivaoù, 9 récits pour 2013 et 30 au total, 10 vidéos, les résultats
Utilisateur(s) parcourant actuellement ce forum : Thomas74 et 38 invité(s)
Accueil - Haut de page - Aide
- Contact
- Mentions légales
- Version mobile
- 0.1 sec
Kikouroù est un site de course à pied, trail, marathon. Vous trouvez des récits, résultats, photos, vidéos de course, un calendrier, un forum... Bonne visite !